중국에서 대두증을 앓던 1살 아이의 두개골에서 ‘기생 태아’가 발견돼 충격을 주고 있다.
현재까지 기생 태아가 보고된 사례는 약 200건에 불과하며, 그중 단 18건만 두개골 내부에서 발생했을 정도로 극히 드문 현상이다.
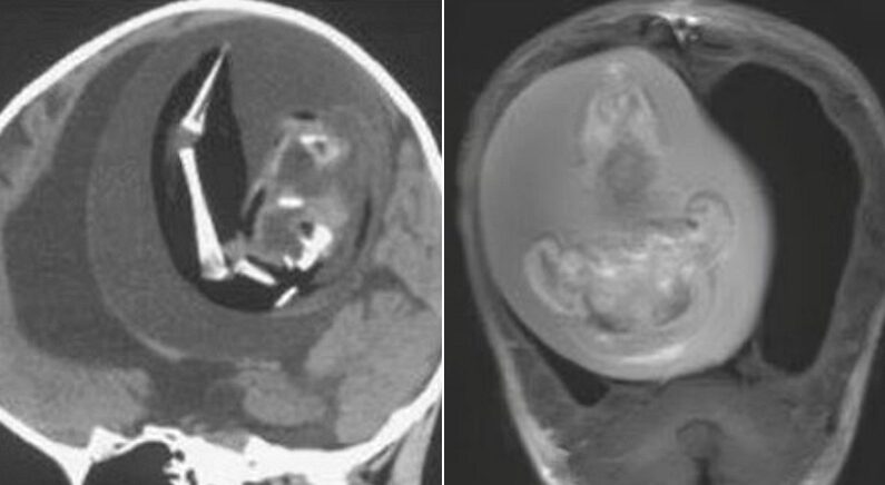
최근 영국 매체 데일리메일 보도에 따르면, 지난해 12월 신경학저널에는 중국 푸단대학병원 의사들이 1세 여아 두개골 안에서 일란성 쌍둥이 기생 태아를 제거했다는 사례가 실렸다.

앞서 이 아이는 기형적으로 머리가 커지는 ‘대두증’이 의심돼 부모와 함께 병원을 방문했다.
병원 의료진은 단순 종양으로 판단하고 CT 촬영을 진행했는데, 두개골 안에서 뇌를 짓누르고 있는 ‘쌍둥이 태아’가 발견된 것이다.

심지어 일란성 쌍둥이 기생 태아는 뼈와 팔, 손톱까지 자란 상태였다.
의료진은 “두개골 속의 태아들에게 꾸준히 영양분과 혈액이 공급되면서, 출생 후 1년간 계속 생존할 수 있었다”라고 설명했다.
의료진은 두개골 속 기생 태아를 즉시 제거했다. DNA 분석 결과, 기생 태아는 아이의 쌍둥이였던 것으로 확인됐다.

기생 태아는 제대로 성장하지 못하고 도태돼야 하는 수정란이 다른 태아에 기생해서 자라는 현상을 뜻한다.
발생 원인은 여전히 밝혀지지 않았으며, 발생률은 50만 분의 1로 극히 드물다.
